We offer exceptional pregnancy ultrasound scans in Leytonstone. Our experienced team is committed to providing comprehensive care and accurate diagnosis throughout your pregnancy journey. Discover the benefits of our advanced ultrasound services and how they contribute to your peace of mind during this special time.
Our pregnancy ultrasound scans offer detailed and accurate diagnosis in the first trimester, ensuring the well-being of both mother and baby. With state-of-the-art equipment, we assess foetal development and provide invaluable insights for a healthy pregnancy.
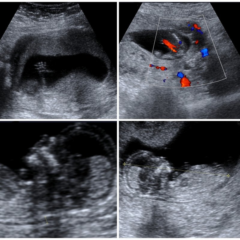
During the first trimester ultrasound, we closely examine the gestational sac, measure the embryo’s size, and check for the presence of a heartbeat. This crucial scan helps identify any potential issues early on, enabling timely medical intervention if needed. Our skilled sonographers are trained to perform this examination with precision, providing you with the necessary information and reassurance.
In the second trimester, our foetal morphology ultrasound offers a comprehensive view of your baby’s development. This detailed scan provides a close look at your baby’s anatomy, ensuring healthy growth and identifying any potential anomalies.
Our advanced ultrasound technology allows us to examine your baby’s organs, bones, and other structures in detail. We take great care to ensure all aspects of your baby’s development are thoroughly assessed, giving you peace of mind as you prepare for the next stages of your pregnancy journey.
Early detection through ultrasound allows us to closely monitor your baby’s growth and development from the very beginning. Timely identification of any concerns ensures prompt medical intervention, contributing to a healthy pregnancy journey.
Our detailed fetal morphology scans provide a comprehensive view of your baby’s anatomy, allowing us to detect potential anomalies and ensure your baby’s healthy development.
Our gender reveal ultrasound brings joy and excitement as we unveil your baby’s gender. Share this special moment with loved ones and create lasting memories together.
Witness the wonder of your baby’s movements and features with our 3D/4D ultrasound. Experience a real-time connection with your little one and cherish these precious moments forever.
as you approach the midway point of your pregnancy, our gender reveal ultrasound lets you celebrate the joyous moment of discovering your baby’s gender. Additionally, our 3D/4D ultrasound provides a unique opportunity to see your baby in incredible detail.
As you approach the midway point of your pregnancy, our gender reveal ultrasound lets you celebrate the joyous moment of discovering your baby’s gender. Additionally, our 3D/4D ultrasound provides a unique opportunity to see your baby in incredible detail.
We understand how exciting it is to learn your baby’s gender, and we ensure this moment is special for you. Our skilled sonographers will reveal your baby’s gender with care and enthusiasm. Furthermore, our 3D/4D ultrasound captures real-time images, allowing you to see your baby’s adorable features and movements. Cherish these precious moments and create lasting memories with our advanced ultrasound technology.
Trust our skilled team to provide accurate diagnosis and exceptional services throughout your pregnancy. Book your private scan with us today and embark on this beautiful journey with confidence.

Etera Medical Clinic is your trusted Private Clinic in Leytonstone, treating patients from Waltham Forest and surrounding areas.
© 2025, Etera Medical Clinic